
Over 500 Happy Patients
Over 500 Happy Patients
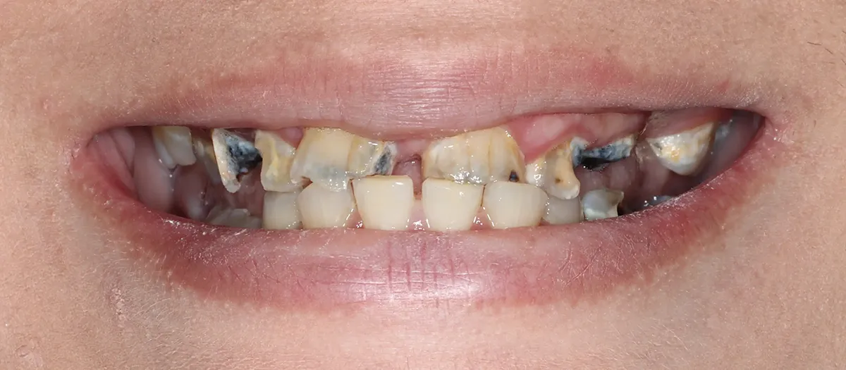
Advanced technology for precise implant placement
Durable full zirconia bridge
4–6 premium dental implants
Digitally crafted for a natural look
Built for lasting strength and stability
New teeth in as little as a few days
At Roots Dental, we provide more than just implant treatments—we deliver a seamless, high-quality experience you won’t find at big chain offices. With over 250 implants successfully completed and 50 full-smile restorations, our skilled team combines precision, advanced technology, and personalized care for consistently exceptional outcomes.
Unlike corporate clinics that rely on outside providers, Roots Dental completes every phase of your smile restoration in-house—from digital imaging and custom design to surgical placement and final restoration. Our on-site dental lab ensures faster delivery times, superior craftsmanship, and total quality control.
We stand behind our results with all zirconia restorations. No outside referrals. No middlemen. No compromises—just a trusted team dedicated to lasting comfort, confidence, and results, all completed conveniently under one roof, often in a single day.
We begin with a detailed exam, 3D imaging, and a personalized discussion about your goals. You’ll receive a custom treatment plan designed specifically for your needs.
Our skilled dental team uses gentle techniques, advanced sedation options, and PRF technology to support comfort and faster healing throughout your procedure.
We’ll guide you every step of the way with clear aftercare instructions and follow-up visits to make sure your new smile remains healthy, strong, and beautiful.
On-Site Dental Lab
3D Printing Technology
Smile Restorations Completed
Certified Anesthesia Team
Durable Zirconia
Doctor Training & Residency
Starting Price
Yes
Available
250+
Nitrous Oxide, IV Sedation
Included
Ongoing Program
$20,000
No
Not Offered
Varies Widely
Often Sedation Only
Not Provided
Typically None
$25,000+
On-Site Dental Lab
3D Printing Technology
100+ Smile Restorations
Full Sedation Services
Lifetime Zirconia Guarantee
Doctor Training & Residency
Starting Price $21,995
On-Site Dental Lab
3D Printing Technology
Smile Restorations Completed - Varies Widely
Certified Anesthesia Team
Lifetime Zirconia Guarantee
Doctor Training & Residency
Starting Price $25,000+
Ideal if you’re missing one tooth and need a reliable, natural-looking replacement.
Feels, looks, and functions just like your original tooth.
Restores your ability to bite and chew normally.
Built for long-term strength and stability.
Perfect for replacing several missing teeth in a row.
Durable and secure—no need for removable partials.
Provides a permanent, natural-looking restoration.
Offers lasting comfort and dependable performance.
Designed for patients missing most or all of their teeth, or those tired of dentures.
Uses 2–4 implants to anchor a full-arch prosthesis securely in place.
Prevents jawbone deterioration and enhances facial support.
Dramatically improves your ability to eat, speak, and smile with confidence.

Over 250 implants placed and 50+ full-arch restorations completed
99% bite function restored for natural comfort and confidence
Durable, low-maintenance teeth built to last
Beautiful, realistic smiles designed to fit you perfectly
Comprehensive care all in one location
Led by an experienced team with 10+ years of expertise


Whether you’re a qualified candidate for dental implants
Which treatment options best fit your needs and goals
Transparent details about cost, financing, and insurance
A personalized timeline for achieving your new smile


For patients seeking complete smile restoration, nothing compares to the precision and care found at Roots Dental. Our team provides a fully integrated approach that combines digital treatment planning, advanced surgical techniques, and handcrafted restorations—all completed in one convenient location.
Using modern technology and years of specialized expertise, we create natural, long-lasting results tailored to each patient. Dr. Joshua Clarkman and his skilled team are known for handling even the most complex restorative cases with accuracy, artistry, and consistency—delivering remarkable outcomes from the very first visit.













Dr. Joshua Clarkman is a highly trained dental implant surgeon with extensive experience in full arch restorations, including All-on-4® and other advanced implant techniques. His commitment to patient safety, precision, and lasting results has earned him hundreds of 5-star reviews and the trust of patients across Bellingham, WA.

Best dentist in the Ham hands down. All staff are next-level sweet and helpful. Dr. Clarkman sits with you and shows you everything you ever wanted to know about your teeth. They have all the shiny state-of-the-art tools to make sure you have the best care. I now won't go anywhere else.
I’ve had nothing but great experiences at Roots Dental. Dr. Clarkman is collaborative and thoughtful, always working with me to build a care plan I trust. Laura at the front desk is invaluable and kind; she makes every visit seamless. For the first time, I look forward to cleanings and future appointments!
Roots Dental is such a friendly and accommodating team! From the front desk to the dental chair, everyone made me feel welcome and cared for. They’re professional, kind, and work together seamlessly. Highly recommend for anyone looking for a great dental experience.
At Roots Dental, we recognize that the cost of dental implants or oral surgery can be a concern for many patients in Bellingham, WA, and nearby areas. Our goal is to make high-quality care attainable for everyone. That’s why we partner with trusted financing providers and offer flexible payment plans to ensure that cost never stands in the way of your healthiest, most confident smile.


Your plan includes 2 cleanings, exams, and routine X-rays at no additional cost.
Enjoy exclusive discounts on other procedures, like fillings, implants, crowns, and much more.
Your benefits begin immediately, and membership runs for 12 months from the date you join.
No deductibles, waiting periods, annual maximums, denials of claims, or pre-approvals.
Panoramic X-Ray
Bitewing X-Rays
Prophylaxis (Cleaning)
Oral Cancer Screening
Gingival Irrigation
Fluoride Varnish
Prophylaxis (Cleaning)
Oral Cancer Screening
Gingival Irrigation
Fluoride Varnish
2 X-Rays
New Patient Deal
Save $300
Save 15% off included treatment & up to 20% off all services
Panoramic X-Ray
Bitewing X-Rays
Prophylaxis (Cleaning)
Oral Cancer Screening
Gingival Irrigation
Fluoride Varnish
Prophylaxis (Cleaning)
Oral Cancer Screening
Gingival Irrigation
Fluoride Varnish
2 X-Rays
$90 Off if paid in full
OR $250 Down & 11-month payment plan
Existing Patient Deal
Save $456
Save 15% off included treatment & up to 20% off all services
Panoramic X-Ray
Bitewing X-Rays
Prophylaxis (Cleaning)
Oral Cancer Screening
Gingival Irrigation
Fluoride Varnish
Prophylaxis (Cleaning)
Oral Cancer Screening
Gingival Irrigation
Fluoride Varnish
2 X-Rays
$50 Off if paid in full
OR $250 Down & 11-month payment plan
Panoramic X-Ray
Bitewing X-Rays
Prophylaxis (Cleaning)
Oral Cancer Screening
Gingival Irrigation
Fluoride Varnish
Prophylaxis (Cleaning)
Oral Cancer Screening
Gingival Irrigation
Fluoride Varnish
2 X-Rays
Dental implants are small titanium posts that replace missing tooth roots. They fuse with the jawbone to support crowns, bridges, or full-arch restorations, providing a strong, natural-looking, and long-lasting solution.
All-on-X is a full-arch restoration technique that uses four or more implants to anchor a complete set of teeth. It’s ideal for patients missing most or all of their teeth and offers a fixed, stable alternative to dentures.
Most adults in good overall and oral health qualify for implants. Even those with bone loss may still be candidates through bone grafting or other preparatory procedures.
Treatment time varies by case. Traditional implants may take several months to complete, while All-on-X procedures often allow for same-day temporary teeth.
Implant surgery is performed under local anesthesia or sedation for comfort. Most patients report mild soreness afterward that resolves within a few days.
With proper care—daily brushing, flossing, and regular dental visits—implants can last decades or even a lifetime.
Costs depend on the number of implants, materials, and treatment complexity. Roots Dental offers flexible financing and payment options to make care more affordable.
Mon: By Appointment Only
Tues, Wed, Thurs: 8 AM - 5 PM
Fri: By Appointment Only
